
Queres saber se as trompas estão permeáveis? Entende como funciona a histerossonossalpingografia, quando é indicada e como te preparar este exame.
Especialistas em ginecologia-obstetricia
mais informações sobre histerossonossalpingografia
Se estás a tentar engravidar ou precisas de investigar a causa de perdas gestacionais, a histerossonossalpingografia (HyCoSy) é um dos exames mais importantes para o teu diagnóstico. Na Clínica Matriz, realizamos este procedimento no Parque das Nações, focando-nos na precisão técnica e no teu conforto.
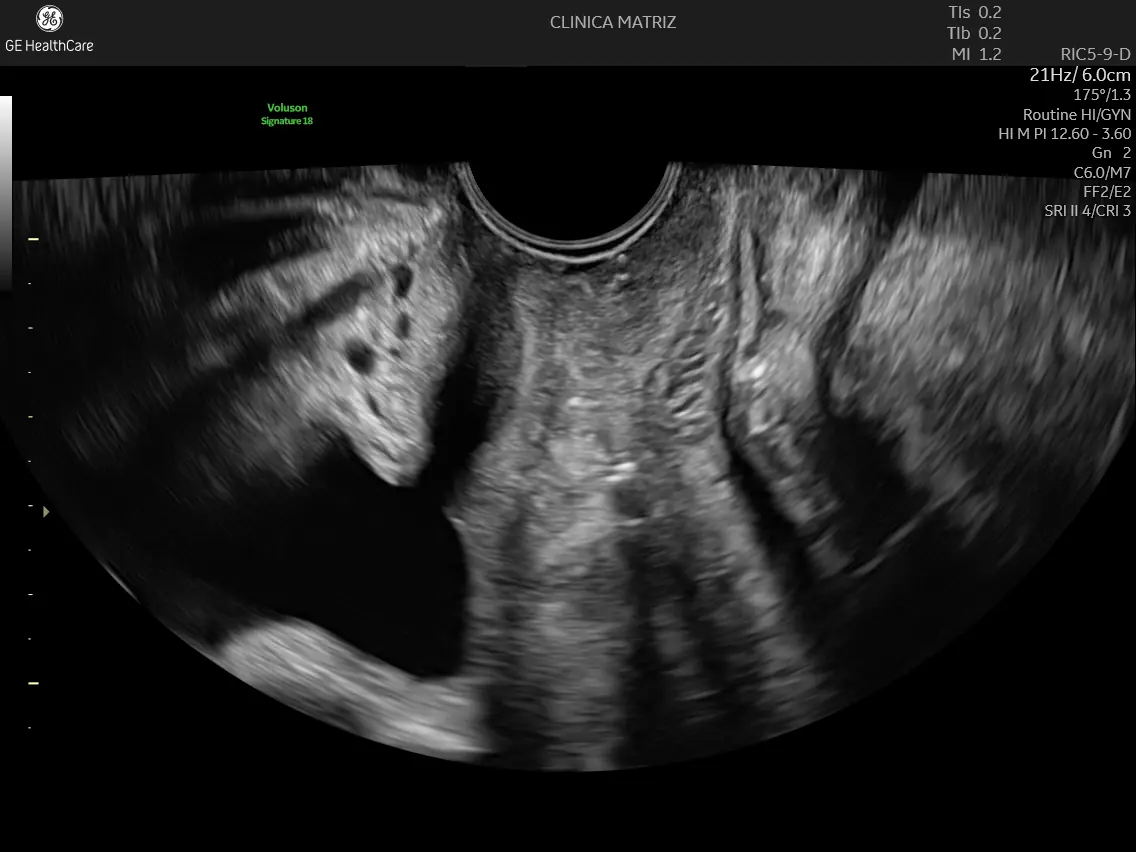
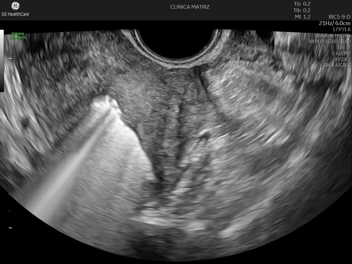
A histerossonossalpingografia é um exame de ecografia ginecológica que permite avaliar a cavidade uterina e a permeabilidade das trompas de Falópio sem recorrer a radiação. Ao contrário de outros métodos, este não exige anestesia e é realizado em ambiente de consulta por um médico ginecologista especializado.
O objetivo principal é confirmar se o caminho que o óvulo e o espermatozoide têm de percorrer está livre de obstáculos e se o útero tem as condições ideais para a fixação do embrião.

Durante o procedimento, conseguimos observar em tempo real pontos fundamentais para a tua saúde reprodutiva:

Este é um exame realizado através de ecografia transvaginal. Introduzimos um cateter muito fino e flexível pelo colo do útero para instilar uma solução de contraste específica (espuma). É o movimento deste líquido que nos permite desenhar a anatomia interna e detetar qualquer obstrução.
O processo demora cerca de 20 a 30 minutos. O nível de desconforto é habitualmente ligeiro e comparável a uma cólica menstrual. Como a recuperação é imediata, podes retomar o teu dia logo após saíres da clínica.
Uma das vantagens de fazeres este exame connosco é a clareza. Na maioria dos casos, o relatório é discutido contigo logo após o procedimento, para que saias da clínica a saber exatamente quais os passos seguintes no teu planeamento familiar.
Este exame é frequentemente solicitado no âmbito de uma investigação de fertilidade ou como complemento a uma Ecografia Ginecológica. Se precisares de agendar ou tiveres dúvidas sobre o momento ideal do teu ciclo, a nossa equipa está disponível para te ajudar.

A Clínica Matriz está aqui para acompanhar-te em cada passo.